Surprise Me!

Woman’s runny nose is actually leaking brain fluid - TomoNews

2018-05-08 1 Dailymotion

OMAHA, NEBRASKA — A Nebraska woman's complaints about a runny nose reportedly turned into a health nightmare.

Reported by news station KETV, Kendra Jackson said she was given various explanations for her runny nose and headache — from allergies to winter congestion.

Jackson said her allergic reactions started after a 2013 car accident during which she hit her head on the dashboard.

Jackson said the allergy was like a waterfall, continuously, and then it would run down the back of her throat.

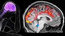
Earlier this year, doctors at Nebraska Health diagnosed Jackson with a cerebrospinal fluid leak, which was causing about half a pint of brain fluid to leak out of Jackson's brain every day.

The leaks can cause headaches, vision changes, or hearing loss. Patients are also more likely to develop meningitis, a potentially fatal infection in the lining of the brain.

Finally, Jackson underwent brain surgery a few weeks ago where doctors used her own fatty tissue to plug the brain fluid leak.

Jackson told KETV that the surgery made a world of difference for her, she said she does not have to carry around tissues anymore and she can finally sleep better.

Fox News reported that when Jackson returned to Nebraska Medicine for a follow-up appointment, doctors said she's expected to make a full recovery.