Surprise Me!

Sigara bırakmak isteyenlere nikotin alternatifi: Patlıcan

2022-02-09 11 Dailymotion

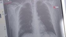
Sigara bırakmak isteyenlere nikotin alternatifi: Patlıcan "Sigara kullanıcı sayısında azalma yok" 9 Şubat Dünya Sigara Bırakma Günü ile ilgili değerlendirmelerde bulunan Prof. Dr. Hayrettin Akkaya sigara kullanma yaşının yıldan yıla düştüğü için sayıda azalma olmadığını belirtti.
Sigara bırakmak isteyenlere nikotin alternatifi: Patlıcan
"Sigara kullanıcı sayısında azalma yok"
İSTANBUL - 9 Şubat Dünya Sigara Bırakma Günü ile ilgili değerlendirmelerde bulunan Prof. Dr. Hayrettin Akkaya sigara kullanma yaşının yıldan yıla düştüğü için sayıda azalma olmadığını belirtti. Sigarayı bırakmak isteyenlere de tavsiyelerde bulunan Akkaya, nikotin bağımlılarına alternatif olarak patlıcan tüketimini önerdi.
9 Şubat, sağlıklı yaşam bilincinin oluşturulması, tütünün zararları konusunda farkındalık oluşturmak ve tütünün bırakılmasını teşvik etmek için Türkiye'de "Sigarayı Bırakma Günü" olarak kutlanmakta. Haber

https://www.haberler.com/sigara-birakmak-isteyenlere-nikotin-alternatifi-14724021-haberi/