Surprise Me!

İnsan beyninin en net görüntüsü yayınlandı: Dünyanın en güçlü MRI cihazıyla çekildi

2024-04-03 432 Dailymotion

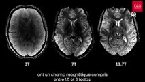
Fransa Atom Enerjisi ve Alternatif Enerjiler Kurumu (CEA), dünyanın en güçlü manyetik rezonans görüntüleme (MRI) cihazıyla elde edilen, insan beyninin en net görüntüsünü yayınladı.
https://haberglobal.com.tr/saglik/insan-beyninin-en-net-goruntusu-yayinlandi-dunyanin-en-guclu-mri-cihaziyla-cekildi-332186