Surprise Me!
SWORD SWALLOWING by Dr. Gertes
2009-11-27
1
Dailymotion
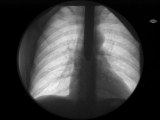
A solid stainless metal sword was swallowed.
Please enable JavaScript to view the
comments powered by Disqus.
Related Videos
THE SWORD SWALLOWER by Dr. Gertes
SWORD SWALLOWING by Dr. Gertes
Moving X-ray Fluoroscope: Sword Swallower Swallowing Swords!
Moving X-ray INSIDE Sword Swallower Swallowing 7 swords on Stan Lee's Superhumans-aMc6-gJJWRA
Moving X-ray INSIDE Sword Swallower Swallowing 7 swords on Stan Lee's Superhumans-aMc6-gJJWRA
Sword Swallower Swallowed Sharp Sword and Run Around Performance 2016
America's Got Talent MOST DANGEROUS Act: Sword Swallower swallows 7 swords at once!
Sword Swallower swallows 7 swords in 2 minutes!
Sword Swallower Swallows 10 Swords and Hedge Clippers (Full)
MINI CUBE ZAG ILLUSION BY DR. GERTES