Surprise Me!

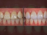
Sourire gingival traité avec des facettes en céramique collée en 2 séances.

2011-05-30 3 Dailymotion

http://dr-assayag-nadine.chirurgiens-dentistes.fr/
Métamorphose d'un sourire gingival inesthétique par le collage de facettes céramique collées, en 2 séances seulement et par une gingivectomie à visée esthétique..