Surprise Me!

Examen de thécamibes Arcella en gros plan et scène de prédation d'un filament bactérien

2012-04-05 75 Dailymotion

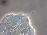
Examen au microscope à contraste de phase (grossissement 400 fois) d'un prélèvement de l'ERM (papeterie de la ville de Thiers) daté d'une semaine : observation de plusieurs amibes Arcella vivantes sous divers angles (carapace ronde ou convexe), détail des pseudopodes dépassant sous la carapace. Scène de prédation d'un filament bactérien par la thécamibe Arcella, où l'on voit l'extrémité du filament être lysée dans le cytoplasme amibien et finalement faire une boucle consommée par l'amibe. Tout au début de la séquence, présence d'un cilié Hypotriche (probablement Aspidisca) avec ses cirres ventraux locomoteurs.

Date : 1995
Auteur : Bernard Védry
SIAAP / La Cité de l'Eau et de l'Assainissement